محققان امپریال کالج لندن با انجام آزمایش‌هایی در رابطه با سن بیولوژیک به نتایج شگفت‌انگیزی دست یافته‌اند.

به گزارش جی پلاس، به نقل از نیواطلس، دو سال قبل محققان موفق شدند با انجام آزمایش‌هایی بر روی 150 ژن فعال در خون سن بیولوژیک را اندازه بگیرند و در همان مقطع انجام این کار با انجام آزمایش بر روی نمونه ادرار امکان‌پذیر شد.

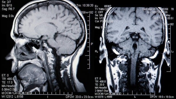
حال محققان دانشگاه انگلیسی موفق شدند با استفاده از اسکن‌های ام.آر.آی و الگوریتم‌های یادگیرنده سن بیولوژیک را محاسبه کنند. روشی که در صورت تایید می‌تواند کار را بسیار ساده‌تر و سریع‌تر کند.

این روش در اصل از سال 2010 آغاز شده و در طی این سال‌ها تکمیل و به روز شده است. الگوریتم‌ مورد استفاده در این تحقیق، با استفاده از بررسی غشای مغز می‌تواند میزان کلی از دست رفتن ماده سفید و خاکستری مغز را که با بالارفتن سن افزایش می‌یابد، پیش‌بینی کند.

با توجه به گزارش منتشر شده از تیم تحقیقاتی چالش موجود در این تحقیق، ایجاد یک استاندارد برای اندازه‌گیری کاهش حجم غشای مغز در ام.آر.آی بوده است.

برای این کار مغز بیش از دو هزار فرد سالم اسکن شده تا محققان بتوانند با انجام مقایسه بین این تصاویر و داده‌های موجود، نرخ تحلیل رفتن مغز را محاسبه کنند.

برای تایید نتایج این تحقیق، دانشمندان  از تصاویر مغز افرادی که در 73 سالگی از مغز آنها اسکن گرفته شده‌ بود استفاده کردند.

محققان به این موضوع پی بردند که مغز بیمارانی که میزان تحلیل رفتن ماده سفید و خاکستری آنها بیشتر باشد پیرتر از سن بیولوژیک خواهد بود و به همین دلیل آنها در ظاهر مسن‌تر بوده و توانایی‌های کمتری نسبت به دیگر همسالان خود دارند.‌ به علاوه در صورتی که سن مغز از سن تقویمی افراد بیشتر باشد، فرد به احتمال زیاد تا پیش از رسیدن به 80 سالگی جان خود را از دست خواهد داد.

در حال حاضر این روش در مواردی در محاسبه سن بیولوژیک حدود پنج سال خطا دارد و محققان در حال بهبود دادن این روش هستند که در صورتی که دقت آن افزایش یابد می‌تواند به عنوان روشی بسیار دقیق‌تر برای بررسی وضعیت سلامتی نسبت به روش محاسبه شاخص توده بدن (BMI) باشد.

جیمز کول، مسؤول این تحقیق گفت: این روش می‌تواند تغییرات بزرگی در علم پزشکی ایجاد کند.

وی افزود: با استفاده از این روش پزشک می‌تواند با بررسی اسکن مغزی بیمار متوجه شود وضعیت سلامت وی چگونه است و به وی دستوراتی در رابطه با رژیم غذایی، تغییر سبک زندگی و قرار گرفتن تحت درمان تجویز کند.

نتایج این تحقیق در مجله علمی Molecular Psychiatry منتشر شده است.

 

انتهای پیام
این مطلب برایم مفید است
0 نفر این پست را پسندیده اند

موضوعات داغ

نظرات و دیدگاه ها

مسئولیت نوشته ها بر عهده نویسندگان آنهاست و انتشار آن به معنی تایید این نظرات نیست.