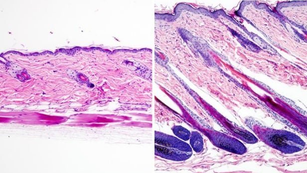
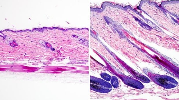
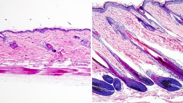
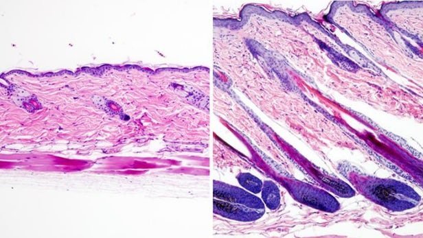
محققان در "دانشگاه کالیفرنیا، لس آنجلس"(UCLA) راهی را برای فعال سازی سلول‌های بنیادی موجود در فولیکول‌های غیرفعال مو کشف کردند تا مجددا به فعالیت خود ادامه دهند.

به گزارش جی پلاس، در این پژوهش جدید محققان دریافتند که فرآیند متابولیک در سلول‌های بنیادی فولیکول مو با آنچه در سایر سلول‌های پوست رخ می دهد متفاوت است.

آنها دریافتند که این سلولها گلوکز را به مولکولی تبدیل می‌کنند که "پیروات" (pyruvate) نام دارد اما این متابولیت(محصول متابولیسم) می‌تواند یکی از دو مسیر زیر را طی کند.

یکی اینکه می‌تواند به نیروگاه سلولی (که به میتوکندری شناخته می‌شود) فرستاده شده و به عنوان انرژی استفاده شود یا اینکه سلول‌ها می‌توانند آن را به یک متابولیت متفاوتی به نام "لاکتات" (lactate) تبدیل کنند، که همان ماده ای است که در طول ورزش باعث احساس سوزش در عضلات می‌شود.

محققان در این پژوهش جدید دریافتند که تغییر مسیر شیمیایی متابولیت‌های گلوکز می‌تواند رفتار فولیکول‌های غیر فعال را تغییر دهد.

"کریستفک" ، استاد شیمی بیولوژیکی و فارماکولوژی مولکولی و پزشکی "دانشگاه کالیفرنیا، لس آنجلس"(UCLA) اظهار کرد:"مشاهدات ما در مورد متابولیسم سلول‌های بنیادی فولیکول مو موجب شد تا به بررسی این موضوع بپردازیم که آیا کاهش ژنتیکی ورودی پریوات به میتوکندری سبب می‌شود که سلول‌های بنیادی فولیکول مو تولید لاکتات بیشتری داشته باشند و این امر سلول‌ها را فعال‌تر کرده و سبب رشد سریع تر مو می‌شوند یا خیر."

برای آزمایش این روش جدید، کریستفک و ویلیام لوری، سرپرست مطالعه، از موش‌هایی استفاده کردند که به صورت ژنتیکی مهندسی شده بودند.

این موش‌ها به دو گروه تقسیم شدند که یک گروه به گونه‌ای مهندسی شده بودند که لاکتات تولید نکرده و مهندسی گروه دیگر به گونه‌ای بود که تولید لاکتات در آنها افزایش یافته بود. آنها دریافتند که مسدود کردن لاکتات باعث جلوگیری از فعال شدن سلول‌های بنیادی فولیکول مو شده، در حالی که افزایش لاکتات باعث افزایش تولید مو خواهد شد.

"لری"، استاد زیست شناسی مولکولی و سلولی در UCLA گفت: "قبل از این، هیچ کس نمی‌دانست که افزایش یا کاهش لاکتات بر سلول‌های بنیادی فولیکول مو تاثیر می‌گذارد."

وی افزود: "هنگامی که ما دیدیم که چگونه تغییر شکل تولید لاکتات در موش‌ها بر رشد مو تاثیر می‌گذارد، به دنبال داروهای بالقوه‌ای گشتیم که می‌تواند بر روی پوست اعمال شده و اثر مشابهی داشته باشد."

لری، کریستفک و تیم آنها در پی یافتن این داروها، موفق به یافتن دو دارو شدند که با شیوه‌های مختلف می‌توانند این کار را انجام دهند.

اولین مورد RCGD423 نامیده داشته و با باز کردن یک بزرگراه اطلاعاتی بین محیط بیرونی سلول و هسته آن از راه مسیری به نام JAK-Stat کار می‌کند. ساخت این بزرگراه تولید لاکتات را افزایش داده و بنابراین سلول‌های بنیادی فولیکول را به حالت فعال تبدیل می‌کند و در نهایت منجر به افزایش رشد مو می‌شود.

داروی دیگر UK5099 نامیده داشته و باعث می‌شود تا پیروات به میتوکندری سلول‌ها وارد نشده و مجبور شود به جای آن لاکتات تولید کند و باعث رشد سریع‌تر مو شود.

تاکنون، این دو دارو هنوز بر روی انسان آزمایش نشده است، اما اگر آزمایشات انجام شده بر روی جوندگان مثمر ثمر باشد، می‌توان به درمان مواردی مانند آلوپسی امیدوار بود.

آلوپسی یک واژه پزشکی است که به ریزش قسمتی یا تمامی موهای نقطه‌ای از بدن اطلاق می‌شود و شایع‌ترین نوع آن ریزش موهای سر است.

این پژوهش در مجله Nature Cell Biology منتشر شده است.

 

انتهای پیام
این مطلب برایم مفید است
0 نفر این پست را پسندیده اند

موضوعات داغ

نظرات و دیدگاه ها

مسئولیت نوشته ها بر عهده نویسندگان آنهاست و انتشار آن به معنی تایید این نظرات نیست.