پورهاشمی با بیان اینکه ایرانیان ۳۰۰ میلیون دندان خراب دارند، گفت: تمام دست اندرکاران سلامت و مردم در حوزه پیشگیری فعال شوند.

به گزارش جی پلاس، سید جلال پورهاشمی عضو کمیته سلامت دهان انجمن دندانپزشکان ایران در آستانه برگزاری اولین همایش سلامت دهان انجمن دندانپزشکان عمومی ایران درباره پوسیدگی دندان، گفت: پوسیدگی دندان در دنیا و از جمله کشور ما به عنوان شایع ترین بیماری عفونی انسانی شناخته شده است، وزارت بهداشت در راستای پیشگیری از بیماری های عمومی موفق بوده اما در زمینه پیشگیری از بیماری های دهان موفقیت چندانی نداشته است.

وی با بیان اینکه شاخص پوسیدگی دندان در کشور ما در طول ۲۰ سال گذشته نه تنها کاهش نداشته بلکه افزایش نیز داشته است، افزود: حدود ۴۰ الی ۵۰ سال گذشته مردم از سلامت دندان بهتری برخوردار بودند اما برای این مساله نمی توان تنها یک فرد یا وزارتخانه را مقصر دانست اما متاسفانه آنگونه که باید در حوزه پیشگیری از پوسیدگی اقدام نشده است.

پورهاشمی با توجه به نقش دندانپزشکان برای پیشگیری از پوسیدگی، بیان کرد: دندانپزشکان در دفاع از پایان نامه خود سوگند یاد کرده اند که حافظ سلامت دندان های مردم باشند اما متاسفانه اکنون دنداپزشکان به جای فعالیت در حوزه پیشگیری بیشتر به درمان می پردازند.

نخستین گام برای پیشگیری از پوسیدگی دندان

این متخصص دندانپزشکی کودکان افزود: در همین راستا و برای یادآوری وظایف دندانزشکان انجمن دندانپزشکان عمومی همایشی را برگزار خواهد کرد، علاوه بر این برگزاری این همایش ها موجب بروز رسانی علم دندانپزشکان می شود، پوسیدگی دندان در کشور ما بسیار شایع است به گونه ای که اگر تمام بودجه سلامت کشور را صرف درمان کنیم پاسخگو نخواهد بود.

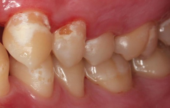
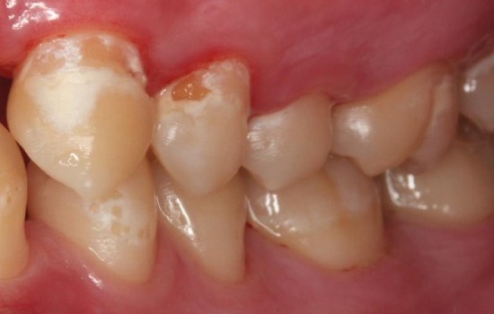
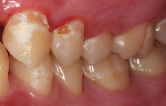
پورهاشمی با توجه به شاخص پوسیدگی دندان در کشور، گفت: شاخص پوسیدگی دندان در کودکان ۱۲ ساله ۲.۲ یعنی کودکان ۱۲ سال ۲ دندان پوسیده دارند که این شاخص در کودکان ۵ ساله ۵.۵ و بالای ۵ سال ۱۳ الی ۱۴ است، در واقع برآورده ها نشان می دهد ایرانیان ۳۰۰ میلیون دندان خراب در دهان دارند که اگر دندانپزشکان شبانه روز به درمان بپردازند بهبودی در سلامت افراد حاصل نمی شود.

این متخصص دندانپزشکی کودکان با تاکید براینکه درمان پوسیدگی هزینه بسیاری نیاز دارد، تصریح کرد: بنابراین ما چاره ای جز پیشگیری نداریم لذا باید تمام دست اندرکاران سلامت و مردم دست به دست هم دهند و از پوسیدگی پیشگیری کنند.

وی نخستین گام برای پیشگیری را توجه به مادران باردار و نوزادان دانست و گفت: اگر ما مادران را از زمان باروری آموزش دهیم و بیاموزیم از بدو تولد به سلامت دندان های فرزندانشان توجه کنند در آینده شاهد دندان های سالم در دهان افراد خواهیم بود؛ با انجام این اقدام هزینه های درمان ۱۰ برابر کاهش می یابد.

انتهای پیام
این مطلب برایم مفید است
0 نفر این پست را پسندیده اند

موضوعات داغ

  • کدخبر: 929099
  • منبع: باشگاه خبرنگاران جوان
  • نسخه چاپی

نظرات و دیدگاه ها

مسئولیت نوشته ها بر عهده نویسندگان آنهاست و انتشار آن به معنی تایید این نظرات نیست.