نایب رئیس انجمن دندانپزشکی کودکان ایران، گفت: کشیدن زودرس و بدون توجیه دندان‌های شیری کودکان باعث اختلال در جویدن مواد غذایی می‌شود.

به گزارش جی پلاس، علی رشیدیان روز یکشنبه افزود: دندان‌های شیری کودکان از ۶ ماهگی شروع به رویش می‌کند و تا سه سالگی کامل می‌شود.

او ادامه داد: خارج کردن زودرس و بدون توجیه دندان‌های شیری از چند جهت سبب بروز مشکل می‌شود، جدا از بروز اختلال در جویدن مواد غذایی، دندان‌های جانشین دائمی مسیر رویشی صحیح خود را از دست داده و سبب کاهش طول قوس فکی خواهد شد.

این دندانپزشک گفت: در بعضی موارد با بررسی کلینیکی و رادیو گرافیک، دندانپزشک به این تصمیم می‌رسد که درمان دندان شیری امکانپذیر نیست یا باقی ماندن آن سبب آسیب به جوانه دندان دائمی می‌شود. در این صورت دندان شیری خارج شده و از فضای نگهدارنده برحسب مورد، برای حفظ مسیر رویشی مناسب دندان‌های دائمی جایگزین استفاده می‌شود.

رشیدیان با بیان اینکه درمان دندانپزشکی برای کودکان در هر سنی امکانپذیر بوده و این امر در مورد درمان‌های زیبایی نیز صادق است، گفت: متخصصان دندانپزشکی کودکان با توجه به میزان همکاری کودک ممکن است این درمان‌ها را در کلینیک یا در اتاق عمل تحت بیهوشی یا آرامبخشی انجام دهند.

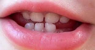
دندان‌های شیری مجموعه اولیه دندانی شامل ۲۰ دندان هستند که به تدریج دندان‌های دائمی جانشین آنها می‌شوند.

تعداد دندان‌های شیری ۱۰ عدد در هر آرواره است که به مرور می‌افتند و ۳۲ عدد دندان دائمی جای آنها را می‌گیرند. تکامل این دندان‌ها از دوره جنینی آغاز می‌شود و بعد از تولد در سنین ۶ ماهگی در می‌آیند و تا سن دو و نیم سالگی تکمیل می‌شوند.

هر انسان دو سری دندان (دندان های شیری و دندان های دائمی) و سه دوره دندانی (شیری، مخلوط و دائمی) دارد. از حدود ۶ ماهگی که اولین دندان شیری در دهان نوزاد رویش می یابد، تا سن ۶ سالگی را که اولین دندان دائمی در دهان می‌روید، دوره دندانی شیری می‌گویند. در این دوران فقط دندان شیری در دهان وجود دارد. از ۶ تا ۱۲ سالگی به تدریج دندان های شیری جای خود را به دندان های دائمی می‌دهند. این زمان را دوره دندان های مخلوط می‌گویند. در حدود ۱۲ سالگی که هیچ دندان شیری در دهان وجود ندارد.

هجدهمین کنگره انجمن دندانپزشکی کودکان ایران از یکم تا چهارم مرداد ۹۸ در دانشکده دندانپزشکی دانشگاه علوم پزشکی تهران برگزار خواهد شد و متخصصان دندانپزشکی کودکان تجارب اندوخته شده را بر پایه دانش روز و شواهد کلینیکی در روند درمان بیماران در حیطه دندانپزشکی کودکان، در این همایش ارایه می دهند و این فرصت فراهم می شود تا مطلوب‌ترین روش‌های درمانی برای ارتقا سلامت بیماران به کار گرفته شود.

 

انتهای پیام
این مطلب برایم مفید است
0 نفر این پست را پسندیده اند

موضوعات داغ

نظرات و دیدگاه ها

مسئولیت نوشته ها بر عهده نویسندگان آنهاست و انتشار آن به معنی تایید این نظرات نیست.