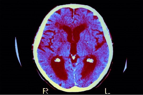
بر اساس یک مطالعه جدید، قرار گرفتن در معرض سرب در دوران بارداری و اوایل کودکی ممکن است سرعت فراموشی اطلاعات در کودکان را افزایش دهد و به طور بالقوه یادگیری و رشد شناختی را مختل کند.

به گزارش جماران؛ به نقل از آسوشیتدپرس، این مطالعه که توسط محققان دانشکده پزشکی ایکان در مونت سینای نیویورک انجام شد، از یک آزمون شناختی شناخته شده به نام وظیفه تطبیق با نمونه با تأخیر برای بررسی عملکرد حافظه در کودکان ۶ تا ۸ ساله استفاده کرد.

محققان از یک مدل آماری جدید- تابع توانی اصلاح شده غیرخطی- استفاده کردند که قبلاً در مطالعات حیوانی و انسانی استفاده شده بود، اما اکنون برای تحقیقات سلامت محیطی تطبیق داده شده است.

این مطالعه نشان داد که سطح بالاتر سرب خون بین سنین ۴ تا ۶ سال، حتی در سطوح نسبتاً پایین مواجهه، به طور قابل توجهی با سرعت بیشتر فراموشی مرتبط است، به طوری که میانگین سطح سرب خون تقریباً ۱.۷ میکروگرم در دسی‌لیتر است.

این یافته‌ها نشان می‌دهد که حتی مواجهه با سرب در سطوح پایین نیز می‌تواند عملکردهای شناختی حیاتی را در اوایل کودکی به خطر بیندازد.

محققان می‌گویند این نتایج، نیاز فوری به تقویت تلاش‌های پیشگیری و کاهش سرب، به ویژه در جوامع محروم را برجسته می‌کند.

 

انتهای پیام
این مطلب برایم مفید است
0 نفر این پست را پسندیده اند

موضوعات داغ

نظرات و دیدگاه ها

مسئولیت نوشته ها بر عهده نویسندگان آنهاست و انتشار آن به معنی تایید این نظرات نیست.