English العربیه اردو
  • چندرسانه ای
  • آثار امام خمینی (س)
  • صحیفه امام خمینی (س)
  • پیوندها
پایگاه اطلاع رسانی وخبری جماران
سه‌شنبه ۱۱ فروردین ۱۴۰۵

تاریخ

نمایش همه بخش ها بستن
  • صفحه نخست
  • عناوین اخبار
  • فقه و حقوق
  • سیاست
    •  تاریخ
    • دیپلماسی
  • اقتصاد
  • بین الملل
  • عکس
  •  ویدیو
  • علم و زندگی
  • فرهنگ
  • اقتصاد
  • جامعه
  • ورزشی
  • خانه >
  • عناوین کل اخبار
  • خانه
  • فقه و حقوق >
    • اخلاق و عرفان
    • مولفین
    • صحیفه امام خمینی
    • آیت الله صانعی
  • سیاست >
    • تاریخ
    • دیپلماسی
  • فرهنگ
  • جامعه >
    • باشگاه مخاطبان
  • اقتصاد >
    • گزارش آگهی
  • بین الملل
  • چند رسانه ای >
    • عکس
    • فیلم
    • اینفوگرافیک
    • نواهای محرم
    • آواها و نواها
  • ورزشی
  • علم و زندگی
  • استان ها

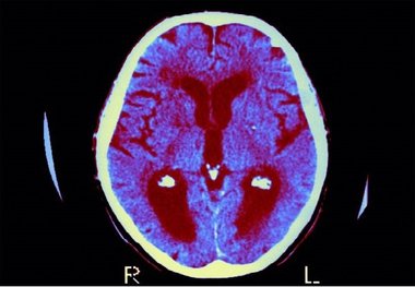
  • فراموشی زودهنگام در کودکان؛ پای سرب در میان است

    فراموشی زودهنگام در کودکان؛ پای سرب در میان است

    بر اساس یک مطالعه جدید، قرار گرفتن در معرض سرب در دوران بارداری و اوایل کودکی ممکن است سرعت فراموشی اطلاعات در کودکان…

۱
  • صفحه نخست
  • عناوین اخبار
  • فقه و حقوق
  • سیاست
  • اقتصاد
  • بین‌الملل
  • استان‌ها
  • عکس
  • علم و فناوری
  • فرهنگ و هنر
  • کار و درآمد
  • جامعه
  • سبک زندگی
  • ورزشی
بازگشت به اول صفحه
با امام:
  • صحیفه امام خمینی
  • زندگینامه امام
  • دیوان امام خمینی (س)
  • حاج احمد آقا
  • سید مصطفی
  • وصیت نامه امام خمینی
  • گالری
  • سید حسن خمینی
  • نهج البلاغه
  • قرآن
  • آثار امام خمینی (س)
سایت های مرتبط:
  • پرتال امام خمینی (س)
  • سایت سید حسن خمینی
  • خرید آثار امام خمینی (عروج چاپ)
  • نمایندگی موسسه تنظیم و نشر-قم
  • نمایندگی موسسه تنظیم و نشر-اصفهان
  • پژوهشکده امام خمینی(س) و انقلاب اسلامی
  • ویکی امام خمینی
  • RSS
  • درباره ما
  • تماس با ما

© کلیه حقوق مادی و معنوی برای پایگاه اطلاع رسانی و خبری جماران محفوظ است. استفاده از مطالب سایت با ذکر منبع بلامانع است.