دانشمندان اعلام کردند کرونای بلند مدت به دلیل آسیب‌های شدیدی است که کووید ۱۹ به بافت‌های ریه وارد می‌کند.

جی پلاس، دانشمندان برآورد می‌کنند کشندگی ویروس کرونا بین ۰.۵ تا ۱ درصد باشد. با این حال، تنها کشندگی کووید ۱۹ مایه نگرانی محققان نیست. تحقیقات گسترده نشان می‌دهد بسیاری از افراد بهبود یافته از کرونا همچنان دارای علائم بیماری بوده و نتوانسته اند به زندگی عادی پیشین خود بازگردند. متخصصان به این حالت کرونای بلند مدت می‌گویند و تلاش می‌کنند دلیل وقوع این علائم را تشریح کنند.

باشگاه خبرنگاران جوان نوشت؛ کرونای بلند مدت درباره کسانی به کار می‌رود که دوره بهبودی کرونا را طی کرده اند، اما همچنان شاهد عوارض و علائم بلند مدت بیماری هستند. علائم بیماری در این افراد به طور معمول بسیار طولانی‌تر از دیگر بیماران است و ممکن است ماه‌ها پس از بهبودی نیز مشاهده شود. تحقیقات کالج سلطنتی لندن نشان می‌دهد ۱۰ درصد مبتلایان به کرونا بیش از دوره معمول علائم کرونا را با خود به یادگار دارند. از این میان، درصد کمی ممکن است علائم بیماری را برای ماه‌ها پس از بهبودی شاهد باشند. تحقیقات گسترده در انگلیس نشان داده است ۲۵۰ هزار مبتلا به کووید ۱۹ برای بیش از ۳۰ روز علائم بیماری را داشته اند.

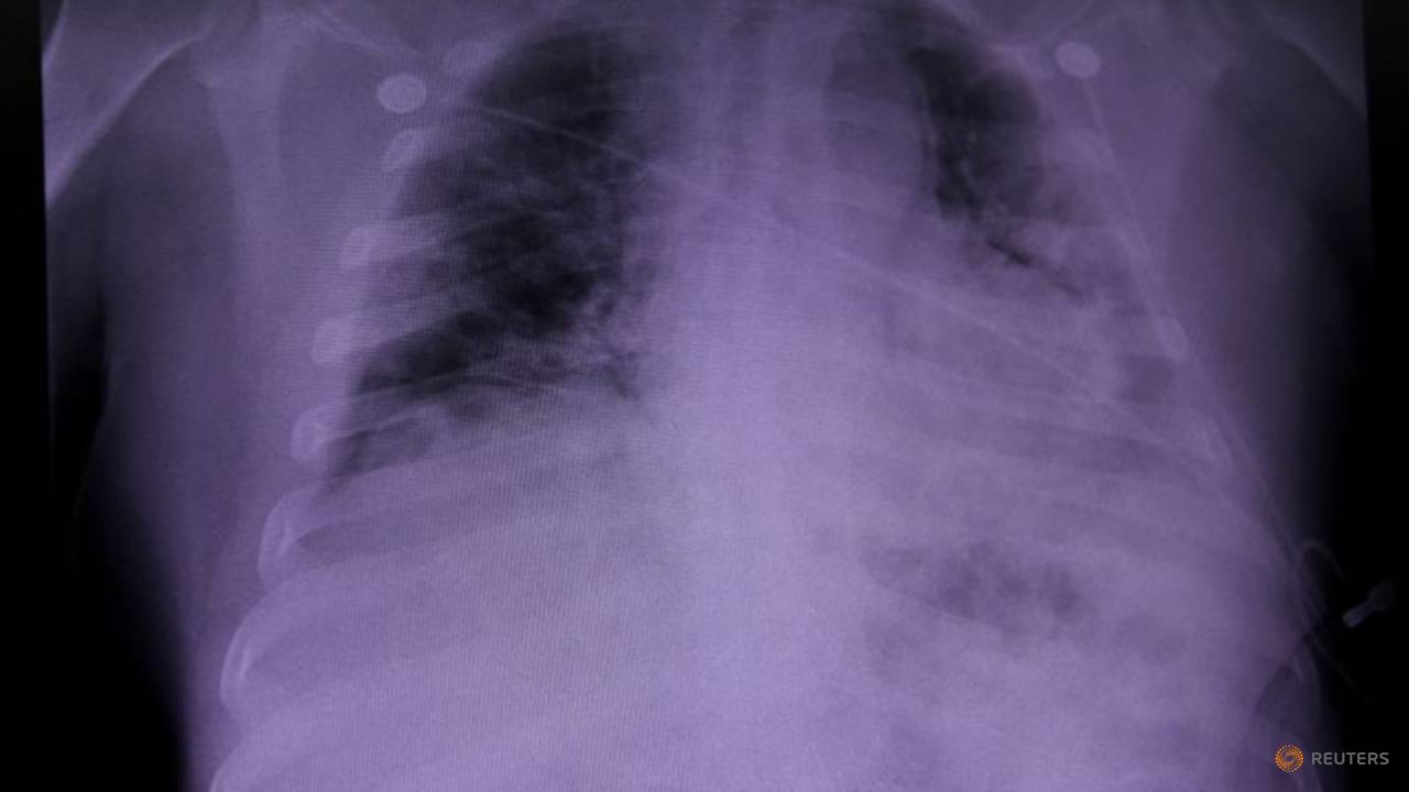
محققان انگلیسی می‌گویند به طور میانگین اگر فردی علائم کرونا را بیشتر از یک دوره ۱۵ روزه نشان دهد، به کرونای بلند مدت مبتلا شده است. دانشمندان کالج سلطنتی لندن برای پی بردن به دلیل وقوع کرونا بلند مدت اقدام به بررسی ریه‌های بیماران کردند. شواهد نشان داد بافت ریه‌های این افراد به شدت در مقابل کرونا آسیب دیده است که همین امر می‌تواند ریشه عوارض بلند مدت بیماری در فرد باشد.

تخریب ریه

محققان می‌گویند دلیل علائم بلند مدت کرونا در فرد را باید در ویژگی‌های خاص کووید ۱۹ جستجو کرد. شواهد نشان می‌دهد ویروس کرونا یک بیماری ساده نیست که تنها باعث مرگ سلول‌های آلوده شود، بلکه سلول‌های آسیب دیده از کووید ۱۹ در یک بازه طولانی در ریه‌ها باقی می‌مانند، و در نتیجه کرونای بلند مدت در فرد بروز می‌کند.

دانشمندان ایتالیایی برای مشاهده شدت آسیب ویروس کرونا به بافت‌های بدن بیماران اقدام به نمونه گیری از قلب، ریه ها، کبد و کلیه ۴۱ قربانی کرونا از ماه فوریه تا آوریل کردند. بررسی‌ها نشان داد یکی از دلایل وقوع کرونای بلند مدت در بیماران، آسیب گسترده و مخربی بوده که این ویروس به ریه‌های افراد وارد کرده است. حتی اگر فرد از کرونا جان سالم به در ببرد، عوارض آسیب‌های شدید ریوی همچنان در بدن فرد باقی خواهد ماند.

تحقیقات متعدد نشان می‌دهد علائم بلند مدت کرونا در افراد دارای طیف وسیعی است که رایج‌ترین آن شامل: تنگی تنفس، خستگی و بی حالی، و مه مغزی است.

۵ علامت که نشان دهنده احتمال ابتلا به کرونای بلند مدت

محققان انگلیسی می‌گویند ۵ علامت در مبتلایان به کووید ۱۹ وجود دارد که می‌تواند ابتلای فرد به کرونای بلند مدت را پیش‌بینی کند. این ۵ علامت شامل موارد ذیل است:

۱- خستگی و بی حالی
۲- سردرد
۳- مشکلات تنفسی
۴- صدای خشن (در این حالت صدای فرد خشن، متشنج و دارای خش خش است)
۵- درد‌های عضلانی

کسانی که در هفته نخست ابتلا به کووید ۱۹ علائم بالا را از خود نشان دهند، احتمال بیشتری دارد که به کرونای بلند مدت دچار شوند. محققان انگلیسی تاکید دارند از میان ۵ علامت ذکر شده، مشکلات تنفسی اصلی‌ترین علامتی است که می‌تواند پیشگویی کننده ابتلا به کرونای بلند مدت باشد. پیش‌تر محققان بر تاثیر سن و جنسیت در بروز کرونای بلند مدت تحقیق کرده بودند، اما پژوهش کمتری در زمینه علائمی که می‌تواند پیش‌بینی کننده بروز آن باشد انجام شده بود.

چه کسانی در خطر ابتلا به کرونای بلند مدت قرار دارند؟

 محققان کالج سلطنتی لندن اعلام کردند مطالعات گسترده نشان می‌دهد یک نفر از هر ۲۰ مبتلا به کرونا بیش از ۸ هفته علائم این بیماری را با خود به همراه دارد. با این حال، دانشمندان در این تحقیقات تمرکز خود را بر روی افرادی که در خطر بالاتر ابتلا به کرونای بلند مدت قرار دارند معطوف کردند.

شواهد نشان داد زنان، افرادی که از اضافه وزن رنج می‌برند و نیز افرادی که دارای بیماری‌های زمینه‌ای مانند آسم هستند در صورت ابتلا به کووید ۱۹ در خطر بسیار بالای داشتن علائم بلند مدت بیماری قرار دارند. این تحقیقات با این هدف صورت گرفت که دانشمندان بتوانند افراد نیازمندی را که در خطر ابتلا به کرونای بلند مدت هستند برای ارائه خدمات درمانی بیشتر شناسایی کنند.

با این وجود، دانشمندان می‌گویند خطر علائم کرونای بلند مدت می‌تواند در همه بهبودیافتگان از این بیماری دیده شود، اما برخی رخداد‌ها می‌تواند احتمال وقوع این علائم را بیشتر کند.

دکتر کلاری استیوز، یکی از محققان کالج سلطنتی لندن در این باره می‌گوید: اگر افراد مبتلا به کووید ۱۹ در هفته نخست بیماری بیش از ۵ علامت ابتلا را به صورت همزمان داشتند، این بدان معنا خواهد بود که به احتمال فراوان این افراد پس از بهبودی علائم بلند مدت کرونا را با خود به یادگار خواهند داشت.

عوارض وحشتناک کرونای بلند مدت در این افراد بیشتر است

او افزود: حقیقت این است که ابتلا به کرونا به یک سرفه سطحی خلاصه نمی‌شود و ویروس می‌تواند به اندام‌های بدن حمله کند. برخی اشخاص در زمان بیماری دارای علائمی مانند سرفه، بی حالی، سردرد، اسهال و از دست دادن حس بویایی و چشایی هستند. این افراد نسبت به کسانی که تنها دارای علامت سرفه بوده اند، پس از بهبودی در خطر بیشتر داشتن علائم بلند مدت کرونا هستند.

همچنین شواهد نشان می‌دهد با افزایش سن به میزان قابل توجهی به خطر ابتلای افراد به کرونای بلند مدت افزوده می‌شود. این افزایش سن به طور مشخص در افراد بالای ۵۰ سال محسوس است. از سوی دیگر، اگر چه شواهد در گذشته ثابت کرده بود مردان بیشتر از زنان در خطر ابتلا به کرونای شدید هستند و متاسفانه آمار قربانیان این گروه جنسیتی بیشتر است، اما تحقیقات دانشمندان نشان داد زنان احتمال بیشتری دارد که به علائم کرونای بلند مدت دچار شوند.

 

آسیب شدید کرونا بر ریه ها

دانشمندان استرالیایی در تحقیقات خود بیمارانی که به کرونای شدید مبتلا شده و در بیمارستان بستری بودند را مورد مطالعه قرار دادند. شواهد نشان داد ۶ هفته پس از مرخص شدن این بیماران از بیمارستان، بیش از ۸۸ درصد از آن‌ها هنوز علائم آسیب ریوی را داشته‌اند. آزمایشات و سی‌تی اسکن این افراد نشان داد ریه‌های آن‌ها هنوز هم درگیر عوارض ابتلا به ویروس کرونا بوده است.

همچنین ۴۷ درصد این بیماران با گذشت بیش از ۶ هفته از بهبودی از مشکلات تنفسی و ناتوانی در دم و بازدم شکایت داشتند. تحقیقات دانشمندان پس از گذشت ۱۲ هفته (تقریبا ۳ ماه) نشان داد ریه‌های ۵۶ درصد از بهبود یافتگان هنوز هم از عوارض کرونا آسیب دیده است و ۳۹ درصد آن‌ها همچنان مشکل تنفسی دارند.

میانگین سنی این بیماران ۶۱ سال بود و مردان ۶۰ درصد این جامعه آماری را تشکیل می‌دادند. بیش از ۵۰ درصد از این بیماران سابقه استعمال دخانیات داشتند و ۶۵ درصد آن‌ها از چاقی یا اضافه وزن رنج می‌بردند. این تحقیقات همچنین خط بطلانی بر تصور نادرست اجتماعی درباره مصونیت افراد سیگاری یا معتاد در برابر ویروس کروناست.

انتهای پیام
این مطلب برایم مفید است
0 نفر این پست را پسندیده اند

موضوعات داغ

  • کدخبر: 1480971
  • منبع: باشگاه خبرنگاران جوان
  • نسخه چاپی

نظرات و دیدگاه ها

مسئولیت نوشته ها بر عهده نویسندگان آنهاست و انتشار آن به معنی تایید این نظرات نیست.