کدخبر: ۱۵۸۸۲۸۲ تاریخ انتشار:

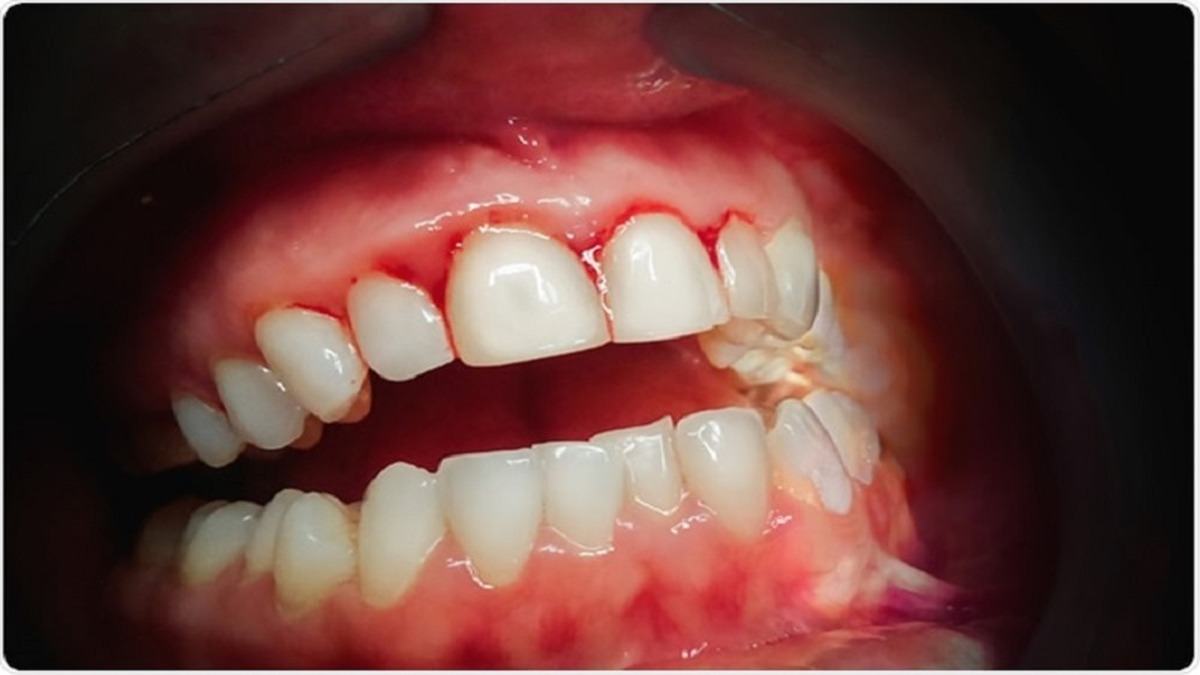
علت ورم لثه‌ها چیست؟

ناحیه بافتی که دندان های ما را احاطه کرده است و به نام لثه شناخته می شود و دندان های سالم به لطف الیاف لثه زیادی که دندان را به فک متصل می کنند، محکم در لثه لانه می کنند.

جی پلاس، لثه خانه فیبروبلاست‌ها است، سلول‌هایی که به تشکیل بافت همبند کمک می‌کنند. گروهی از دانشمندان دانشگاه توهوکو کشف کرده‌اند که سفتی لثه بر خواص فیبروبلاست‌های لثه تأثیر می‌گذارد، که به نوبه خود بر احتمال وقوع التهاب و ایجاد مشکل در فیبرهای لثه تأثیر می‌گذارد.

مشرق نوشت؛ استادیار ماساهیرو یامادا از دانشکده دندانپزشکی دانشگاه توهوکو می گوید: ما متوجه شدیم که لثه نرم منجر به التهاب می شود و مانع از رشد الیاف لثه می شود.

مدتهاست که مشخص شده است که افراد دارای لثه ضخیم یا سفت کمتر مستعد ابتلا به تحلیل یا عفونت لثه هستند. جایی که لثه شروع به عقب نشینی می کند و ریشه دندان را آشکار می کند، عوامل زیادی می توانند منجر به تحلیل لثه شوند، مانند بیماری لثه، مسواک زدن بیش از حد و جویدن تنباکو. اما این اولین بار است که سفتی لثه به واکنش های بیولوژیکی نسبت داده می شود.

اگرچه فیبروبلاست ها نقش مهمی در نگهداری، ترمیم و التیام لثه ایفا می کنند، اما مولکول های زیستی التهابی و تخریب کننده بافتی مختلفی تولید می کنند که فیبرهای لثه را تخریب می کنند. علاوه بر این، فیبروبلاست ها با پاسخ های ایمنی به پاتوژن ها مرتبط هستند.

یامادا به همراه همکارش پروفسور هیروشی اگوسا، از دانشکده دندانپزشکی دانشگاه توهوکو، یک محیط مصنوعی ایجاد کردند که لثه نرم یا سخت را شبیه‌سازی می‌کرد و فیبروبلاست‌های لثه انسانی را روی آن‌ها کشت می‌داد. آنها کشف کردند که سفتی سخت شبیه سازی شده توسط لثه یک سیستم ضد التهابی درون سلولی در فیبروبلاست های لثه را فعال می کند که از التهاب جلوگیری می کند. با این حال، بافت نرم شبیه سازی شده با لثه، سیستم ضد التهابی فیبروبلاست را سرکوب کرد. این احتمال التهاب را افزایش داد و منجر به سنتز کلاژن کمتر شد.

یامادا می‌افزاید: تحقیق ما اولین تحقیقی است که مکانیسم‌های بیولوژیکی را در رابطه با ویژگی‌های لثه‌ای بیمار نشان می‌دهد. انتظار می‌رود که نتایج این تحقیقات، توسعه بیومواد پیشرفته را برای کنترل التهاب موضعی یا میکرودستگاه‌هایی که ریزمحیط شرایط التهابی را شبیه‌سازی می‌کنند، تسریع کند. یافته های آنها در مجله Scientific Reports منتشر شد.

 

مشاهده خبر در جماران