یک مطالعه جدید نشان می‌دهد که سلول‌ها برای التیام و جوان شدن دوباره، مواد زائد درون خود را استفراغ می‌کنند.

به گزارش جماران؛ به نقل از ایسنا؛ محققان یک فرآیند سلولی احیاکننده جدید به نام کاتارتوسیتوز (cathartocytosis) را شناسایی کردند که در آن سلول‌ها برای التیام خود «استفراغ» می‌کنند.

به نقل از آی‌ای، محققان یک فرآیند سلولی جدید را شناسایی کرده‌اند که با تبدیل شدن به سلول‌های بنیادی به سلول‌های آسیب‌دیده کمک می‌کند تا التیام یابند.

این فرآیند که شبیه به استفراغ کردن است، در یک مطالعه جدید از دانشکده پزشکی دانشگاه واشنگتن و کالج پزشکی بیلور کشف شد. آنها این پاکسازی سلولی ناشناخته را «کاتارتوسیتوز» یا «پاکسازی سلولی» نامیده‌اند.

طبق یک بیانیه مطبوعاتی، این پژهش در مجله Cell Reports منتشر شده است و بر روی موش‌های مبتلا به آسیب‌های معده بررسی کرده که چگونه سلول‌ها از عفونت یا بیماری التهابی التیام می‌یابند یا بهبود نمی‌یابند.

سلول‌ها راه‌های متعددی برای تقویت التیام دارند، اما این حالت تازه شناسایی شده به سلول‌ها اجازه می‌دهد تا اجزای قدیمی را از بین ببرند و دوباره نو شوند که به آنها کمک می‌کند بافت سالم را بازسازی کنند. به گفته نویسندگان این مطالعه، این روش به نحوی است که انگار سلول‌ها استفراغ می‌کنند.

 

با این حال، از آنجا که «کاتارتوسیتوز» سریع و آشفته است، ممکن است معایبی داشته باشد. در واقع می‌تواند آسیب و التهاب را تداوم بخشد.

محققان امیدوارند که درک بهتر این پدیده به آنها کمک کند تا راه‌هایی برای استفاده از این مکانیسم‌های بهبودی در پزشکی پیدا کنند و در عین حال از اثرات منفی آن اجتناب کنند.

رها کردن سلول قدیمی

«کاتارتوسیتوز» اولین بار در سال ۲۰۱۸ توسط دکتر جیسون سی. میلز (Jason C. Mills)، نویسنده ارشد همین مطالعه توصیف شد. این فرآیند بخشی از یک پاسخ ترمیمی بزرگتر به آسیب به نام پالیژنوز (paligenosis) است که در آن سلول‌ها خود را برای بازگشت به حالت «نابالغ» یا جوان، دوباره برنامه‌ریزی می‌کنند.

دکتر جفری دبلیو. براون (Jeffrey W. Brown)، نویسنده اول این مطالعه گفت: وظیفه سلول پس از آسیب، ترمیم آن آسیب است، اما دستگاه سلولی بالغ سلول مانع می‌شود.

وی افزود: بنابراین، این پاکسازی سلولی راهی سریع برای خلاص شدن از شر آن دستگاه است تا بتواند به سرعت به یک سلول کوچک و اولیه تبدیل شود که قادر به تکثیر و ترمیم آسیب باشد. ما این فرآیند را در دستگاه گوارش شناسایی کردیم، اما گمان می‌کنیم که در سایر بافت‌ها نیز مرتبط باشد.

اساساً سلول‌ها برای پاکسازی دستگاه سلولی خود، مواد زائد را استفراغ یا پاکسازی می‌کنند. این به عنوان یک میانبر عمل می‌کند که به آنها اجازه می‌دهد بافت سالم را سریع‌تر رشد دهند، زیرا روش معمول آنها برای تجزیه مواد زائد خیلی طول می‌کشد. با این حال، این عمل دارای معایبی است.

«کاتارتوسیتوز» می‌تواند باعث سرطان شود!

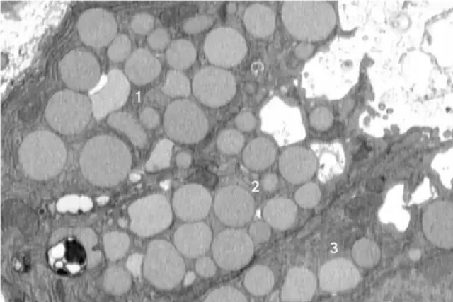
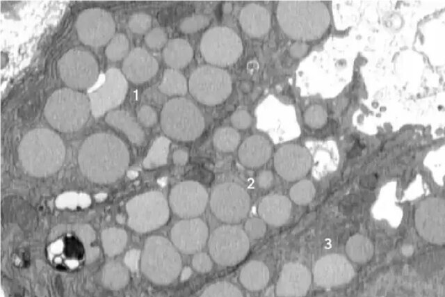
دکتر براون در طول تحقیقات مداوم خود متوجه وجود بقایایی در خارج از سلول‌ها در یک مدل آسیب معده در موش‌ها شد. او متوجه شد که با ادامه پخش شدن مواد زائد، اتفاقی عمدی در حال رخ دادن است. آسیب معده این اثر پاکسازی یا کاتارتوسیتوز را در پاسخ ترمیمی بزرگتر پالیژنوز ایجاد کرد. این زمانی است که یک سلول برای بهبودی به حالت سلول بنیادی برمی‌گردد.

با این حال، این ضایعات اضافی همچنین می‌توانند باعث التهاب، کند شدن بهبود آسیب‌های مزمن و به طور بالقوه باعث سرطان شوند.

تحقیقات بیشتری مورد نیاز است، اما نویسندگان مطالعه گمان می‌کنند که «کاتارتوسیتوز» در واقع می‌تواند به معده آسیب برساند.

خبر خوب این است که این یافته‌ها می‌تواند منجر به استراتژی‌های درمانی جدیدی برای سرطان‌های معده و دستگاه گوارش شود.

دکتر براون نتیجه گرفت: اگر درک بهتری از این فرآیند داشته باشیم، می‌توانیم راه‌هایی برای کمک به تشویق پاسخ بهبودی ایجاد کنیم و شاید در زمینه آسیب مزمن، از مشارکت سلول‌های آسیب‌دیده‌ای که تحت «کاتارتوسیتوز» مزمن قرار می‌گیرند در تشکیل سرطان جلوگیری کنیم.

این مطالعه در مجله Cell Reports منتشر شده است.

 

انتهای پیام
این مطلب برایم مفید است
0 نفر این پست را پسندیده اند

موضوعات داغ

نظرات و دیدگاه ها

مسئولیت نوشته ها بر عهده نویسندگان آنهاست و انتشار آن به معنی تایید این نظرات نیست.