کدخبر: ۱۵۳۳۳۸۲ تاریخ انتشار:

راه حلی جدید برای نجات جان بیماران مبتلا به سل

به گفته سازمان غذا و داروی آمریکا با ترکیب سه قرص می‌توان حدود ۹۰ درصد از بیماران مبتلا به سل بسیار مقاوم را درمان کرد.

جی پلاس، سازمان غذا و داروی آمریکا؛ داروی جدید سل را تایید کرد که درمان سخت‌ترین موارد را که مشکلی بدتر در بسیاری از کشورهای فقیر است، تسریع و بهبود می‌بخشد. یک گروه غیرانتفاعی این داروی سل را کشف کردند و برای ارائه درمان‌های بهتر ، با کمک خیریه‌ها و سازمان‌های دولتی،  این دارو توسعه داده شد.

این قرص توسط FDA برای استفاده با دو آنتی بیوتیک دیگر تایید شده است. دهه‌ها درمان ناقص یا بی‌موثر منجر به ایجاد سویه‌های سل شده است که به دارو مقاوم شده‌اند و با دارو‌های استاندارد طولانی از بین نمی‌روند.

در یک مطالعه کلیدی، ترکیب سه قرص حدود ۹۰ درصد از بیماران مبتلا به سل بسیار مقاوم به دارو را معمولاً ظرف ۶ ماه درمان کرد. بیماران مبتلا به HIV نیز، مانند سایر شرکت‌کنندگان در مطالعه موفق شدند. همچنین به نظر می‌رسد پرتومانید بیماران را از گسترش عفونت کشنده باکتریایی پس از درمان تنها چند روز باز می‌دارد.

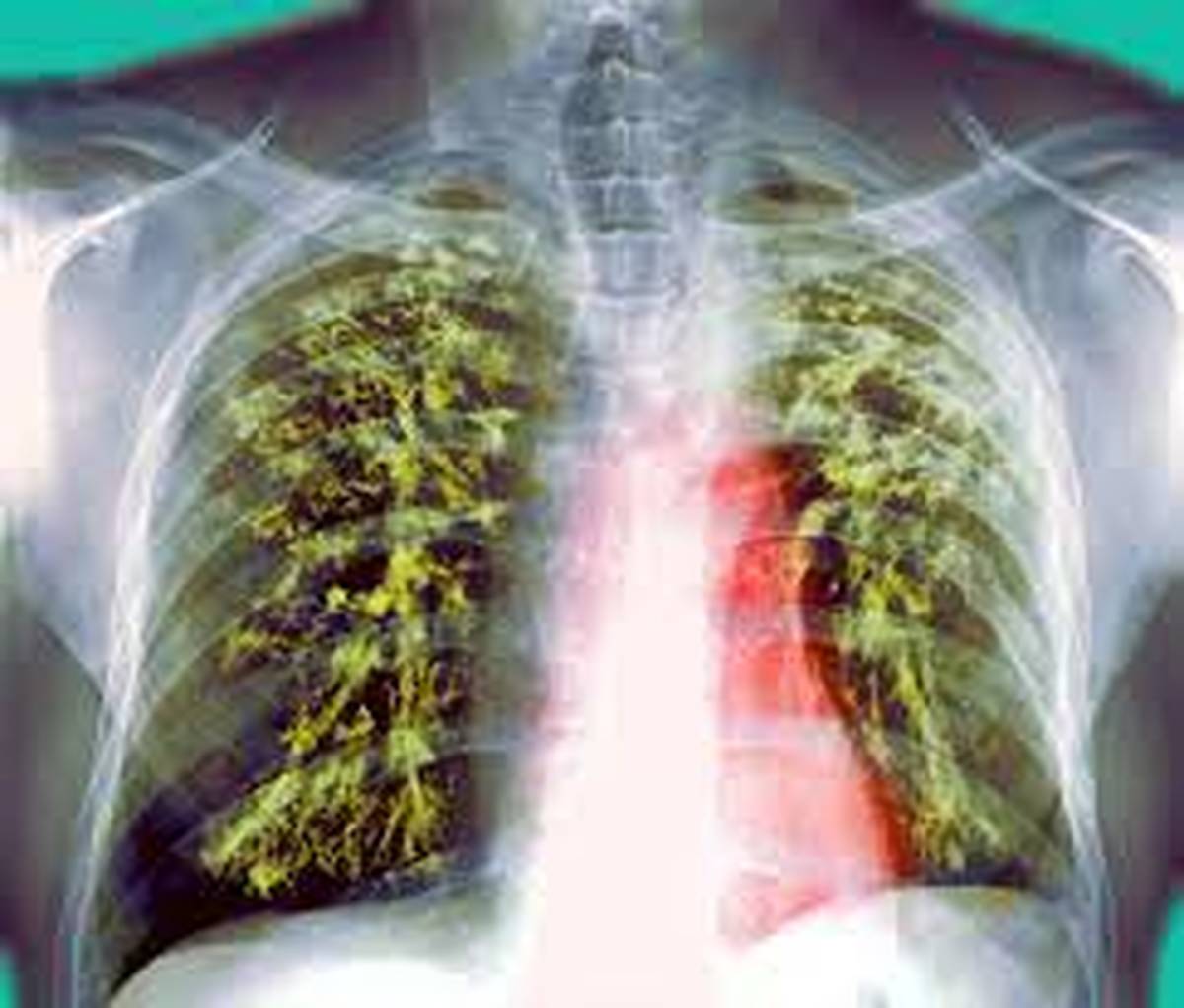
بیماری سل سالانه حدود ۱.۶ میلیون نفر را می‌کشد

تا به حال، بهترین دارو و راه درمانی این بیماری حدود دو سوم بیماران را درمان می‌کرد، ۱۸ تا ۳۰ ماه طول می‌کشید و به هشت نوع واکسن و قرص نیاز داشت. به گفته مل اسپیگلمن، بسیاری از بیماران می‌میرند یا درمان را تمام نمی‌کنند.

در سراسر جهان، سل سالانه حدود ۱.۶ میلیون نفر را می‌کشد. هنگامی که فرد مبتلا به سل عطسه یا سرفه می‌کند، از طریق قطرات پخش می‌شود و سل به ریه‌ها و گاهی دیگر اندام‌ها حمله می‌کند.

پرتومانید برای استفاده با بادو آنتی بیوتیک دیگر (زیواکس و سرتورو) که برای سخت‌ترین موارد استفاده می‌شوند، تأیید شد. این سه دارو که مقاومت کمی دارند، به طرق مختلف به سل حمله می کنند. البته این داروها ممکن است دارای عوارض جانبی بالقوه شامل آسیب کبد، درد عصبی و ضربان قلب نامنظم باشد.

اسپیگلمن گفت: ترکیب جدید می‌تواند به بیش از ۷۵ هزار بیمار در سال کمک کند، بیشتر در هند، چین، اندونزی، آفریقای جنوبی و نیجریه. FDA اولین تنظیم کننده‌ای است که پرتومانید را تأیید کرده است، اگرچه موارد شدید زیادی در ایالات متحده وجود ندارد، اقدام FDA باید در کشور‌هایی که آندمیک است، تسریع پیدا کند.

 

منبع: باشگاه خبرنگاران جوان

مشاهده خبر در جماران