کدخبر: ۱۴۶۰۷۴۹ تاریخ انتشار:

۲ میلیارد نفر به انگل مغزی مبتلا شدند/ راه های انتقال آن

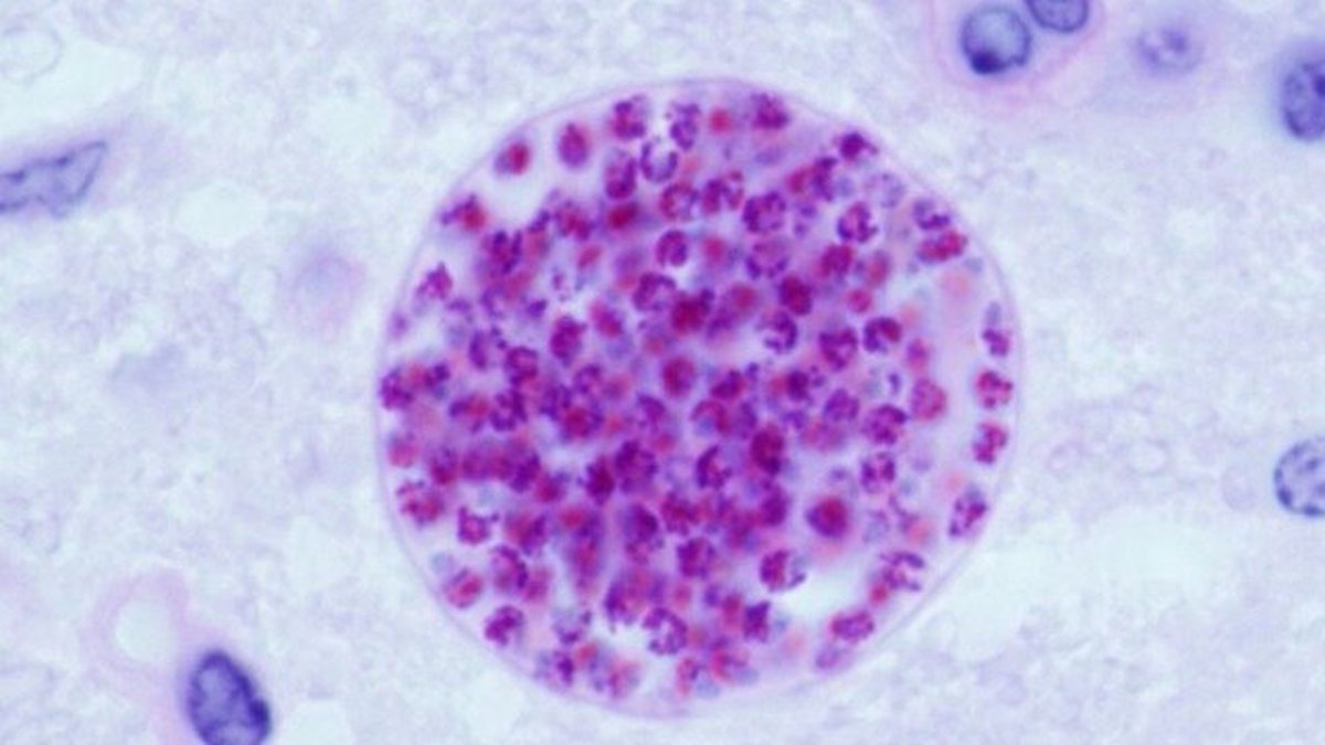
انگلی مغزی که توسط گربه ها و گوشت های آلوده منتشر می شود، دو میلیارد نفر را مبتلا کرده است در حالی که اکثر این افراد هیچگاه واکنش یا علامتی نخواهند داشت.

به گزارش جی پلاس، محققان "دانشکده پزشکی دانشگاه ویرجینیا" در مطالعه اخیرشان توضیح داده‌اند که چرا این اتفاق رخ می‌دهد و می‌تواند سبب چه بیماری‌هایی شود. یافته‌های این مطالعه می‌تواند بینش محققان از عفونت‌های مغزی، بیماری‌های عصبی و بیماری‌های خود ایمنی را افزایش دهد.

محققان طی این مطالعه دریافتند که این انگل که "توکسوپلاسما گوندی"(Toxoplasma gondii) نام دارد توسط مدافعان مغزی به نام "میکروگلیا" تحت کنترل قرار می‌گیرد. دانشمندان کشف کردند که این میکروگلیا یک مولکول ایمنی منحصر به فرد موسوم به "IL-۱a" را آزاد می‌کند که قدرت سلول‌های ایمنی بدن را برای کنترل انگل در مغز افزایش می‌دهد. این فرآیند در مغز به خوبی عمل می‌کند اما باز هم چند علائم که این انگل سبب ایجاد آن می‌شود در برخی افراد مشاهده می‌شود.

توکسوپلاسما گوندی یک انگل اجباری درون سلولی است که میزبان عمده آن گربه است و قابلیت انتشار آن توسط مدفوع گربه می‌باشد اما قدرت آلوده کردن انواع مهره داران و پستانداران و پرندگان را نیز دارد و در برخی کشورها در سرم خون تا یک سوم افراد بالغ آنتی‌بادی این انگل مشاهده می‌شود که این امر نشان دهنده شیوع بالا و قدرت آلودگی این انگل است.

درک نقش میکروگلیا ضروری است زیرا آنها معمولاً تنها سلول‌های ایمنی بدن در مغز هستند. یافته جدید نشان می‌دهد که چگونه مغز از آنها در صورت لزوم کمک می‌گیرد و این کشف می‌تواند برای ایجاد درمان موثر در هر شرایط مغزی از جمله آسیب مغزی، بیماری عصبی، سکته مغزی، ام اس و موارد دیگر مورد استفاده قرار گیرد.

دکتر "تاجی هریس"(Tajie Harris) محقق این مطالعه گفت: میکروگلیا باید برای نجات مغز از شر این عفونت بمیرد. در غیر این صورت ، IL-۱a در داخل میکروگلیا گیر کرده و به سیستم ایمنی بدن هشدار نخواهد داد که چیزی در حال رخ دادن است.

میکروگلیا(Microglia) یا ریزپی‌بان‌ها یاخته‌هایی کوچک و غیرعصبی و میان‌بافتی با منشأ میان‌پوستی هستند که بخشی از ساختار حمایتی دستگاه عصبی مرکزی را تشکیل می‌دهد. میکروگلیا ۵ تا ۲۰ درصد کل جمعیت سلول‌های گلیایی را تشکیل می‌دهند. این سلول ها اولین جمعیت از سلولهای دستگاه عصبی مرکزی می‌باشند که در مقابل آسیب‌ها، عفونت‌ها و واکنش‌های التهابی مغزی نظیر بیماری آلزایمر، مالتیپل اسکلروزیز(ام اس)، انسفالوپاتی و بیماری‌های پریونی پاسخگو می‌باشند.

محققان طی این مطالعه اعلام کردند که میکروگلیا پشت سر هم از سلول‌های ایمنی به نام ماکروفاژها برای کنترل عفونت توکسوپلاسما گوندی استفاده می‌کند و یافته‌های این مطالعه توضیح می‌دهد که چرا اکثر مردم در کنترل انگل مشکلی ندارند در حالی که برخی دیگر خصوصاً افرادی که ایمن سازی شده اند بسیار بیمار می‌شوند.

محققان گفتند: درک مسیرهایی از این دست می‌تواند به درک سایر بیماری‌های مرتبط با التهاب عصبی به ما کمک کند. درک این امر می‌تواند به ما در به دست آوردن اطلاعات جامع ما از بیماریهایی نظیر ام.اس کمک کند.

در آینده محققان این مطالعه قصد دارند دریابند که چگونه میکروگلیا انگل‌های موجود در مغز را تشخیص می‌دهد. آنها قصد دارند دریابند میکروگلیا می‌تواند حضور انگل را به طور مستقیم تشخیص دهد یا آنها می‌توانند آسیب به بافت مغز را که پدیده ای است که در بسیاری از بیماری‌ها رخ می‌دهد، تشخیص دهند.

محققان گفتند: سیستم ایمنی بدن باید برای مقابله با عفونت‌های خطرناک وارد مغز شود. ما اکنون تا حدودی می‌دانیم که چگونه میکروگلیا زنگ خطر را برای محافظت از مغز به صدا در می‌آورد.

منبع: ایسنا

مشاهده خبر در جماران